Beating Moyamoya: How Timely Surgery Transformed an 11-Year-Old’s Life

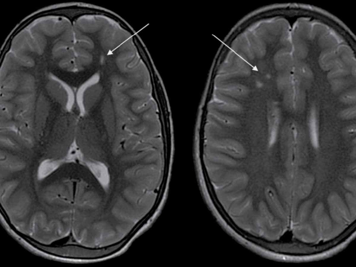
Bangalore, 22nd January, 2025: In a compelling case that underscores the importance of early diagnosis and expert intervention, an 11-year-old boy from Devanahalli Taluk, overcame the challenges posed by Moyamoya disease—a rare cerebrovascular disorder often leading to continuous strokes. Known to have a prevalence rate of 0.35 to 0.94 per 100,000 people, mainly in the areas of Japan and Korea, Moyamoya disease manifests itself via gradual narrowing of arteries supplying blood to the brain. Arjun (name changed) experienced an episode of seizure a year back which was progressively followed by a decline in his ability to see and weakness on the left side of his body over the course of the year. A CT Angiogram at Aster Whitefield Hospital showed a “puff of smoke” appearance - a hallmark sign of Moyamoya disease, hence confirming the diagnosis.
This rare and unique disease mostly affects children around the age of 10 years and adults around the age of 40 years while progressing without warning, necessitating prompt and precise medical intervention. Moyamoya disease causes narrowing of key brain arteries, prompting the brain to form smaller compensatory blood vessels to meet its oxygen needs. These new vessels, however, are often insufficient, appearing as a “puff of smoke” in imaging scans. When the brain’s demand for blood outpaces the supply, patients experience strokes or other neurological events, as in Arjun’s case. Left untreated, Moyamoya can lead to recurring strokes, disability, and even death, making early diagnosis critical to altering the disease's course.
Get instant PSU updates on WhatsApp!
Join WhatsApp ChannelRecognizing the immediacy of the situation, the medical team decided to go ahead with a Revascularization surgery. This is an intricate procedure but offers a reliable method to restore blood flow to the brain. The surgeons carefully isolated a scalp artery, called the superficial temporal artery (STA) and connected it to an artery in the brain, creating an anastomosis. This connection enabled blood from the STA to eventually supply the brain, circumventing the narrowed arteries and improving oxygen delivery. But, the surgery was not without its challenges. Revascularization demanded careful handling of delicate arteries. Isolating them and suturing these tiny vessels required flawless execution. Through the combined expertise of Dr. Swaroop Gopal, Group Director – Aster International Institute of Neurosciences and Spine Care, Aster Whitefield Hospital, Specializing in Vascular and Endo-Vascular Surgery and Dr. Suraj Gopal, Associate Consultant, Neurosurgery, Aster Whitefield Hospital the surgery was completed successfully.
The post-operative prognosis for this disease includes stabilization of the symptoms with continuous evaluation. Arjun was discharged two days after his surgery and has been scheduled for regular check-ups to monitor his condition as Moyamoya disease is known to be bilateral, that is, it affects both the sides of the brain. Hence, there is a possibility that revascularization procedures may be needed for the opposite side of the brain as well.
“Arjun is doing well now. After the diagnosis, a Digital Subtraction Angiography (DSA) was performed to evaluate issues with the blood flow. This involved inserting a catheter into the leg artery and guiding it to the brain's blood vessels, utilizing high-quality X rays to image the blood vessels”, mentioned Dr. Swaroop Gopal, Group Director – Aster International Institute of Neurosciences and Spine Care, Aster Whitefield Hospital. “The whole revascularization procedure was done under a microscope”, he added.
Arjun’s family were kept informed of all the developments and treatment plans on a daily basis. The rarity of the case made it a challenge for them to understand the condition and the need for surgery. But considerable information, reassurance and support from the medical team provided the parents with emotional strength to face the situation. Throughout the whole process they remained hopeful and strong.
Dr. Suraj Gopal, Associate Consultant, Neurosurgery, Aster Whitefield Hospital, mentioned, “Moyamoya is a surgically treatable disease. Hence, it is very important for parents, guardians or family to not dismiss the symptoms as a typical paralysis or stroke. Early recognition of the symptoms is crucial for the diagnosis and subsequent treatment. Missing symptoms increases the risk of recurrence, with strokes becoming more severe and occurring in closer intervals.”
Arjun has completely recovered from the weakness that had affected the left side of his body along with partial improvement in his vision, as the bypass starts functioning several weeks after the surgery. With timely intervention, advanced surgical techniques, and compassionate support, Arjun’s future is now full of possibilities. The success of his treatment offers hope to other families facing similar diagnoses, showcasing how expert care and determination can change lives.